Sweet orange scab

Scientific name

[Fungus] Elsinoe australis Bitancourt and Jenk.

Anamorph Sphaceloma australis Bitancourt and Jenk.

Disease cycle

Sweet orange scabscab:
rough, crust-like, diseased or injured area on the surface of a plant
forms spores on the surface of the scabscab:
rough, crust-like, diseased or injured area on the surface of a plant
pustules. This species of scabscab:
rough, crust-like, diseased or injured area on the surface of a plant
attacks mainly fruits. The conidia (asexual spores) are similar to those of E. fawcettii, require moisture for sporespore:
a.) small, walled reproductive body produced by non-flowing plants, algae, fungi and some protozoans; usually microscopic and resistant to desiccation and heat b.) dormant, nonreproductive body formed by certain unicellular organisms, especially bacteria, in response to harsh environmental conditions
production and are primarily spread by splashing rain. Fruits are susceptible for 6 to 8 weeks after petal fall. The role of ascospores (sexual spores) is uncertain.

Symptoms

Sweet orange scabscab:
rough, crust-like, diseased or injured area on the surface of a plant
does not usually form lesions on leaves or twigs in contrast to the more common Citrus scabscab:
rough, crust-like, diseased or injured area on the surface of a plant
.

Fruit- the rinds of young fruit display relatively large flat or warty outgrowths (windscar) which vary in color from a light pink to a grayish-brown with age. Sweet orange scabscab:
rough, crust-like, diseased or injured area on the surface of a plant
lesions are flatter than those produced by E. fawcettii (Citrus scabscab:
rough, crust-like, diseased or injured area on the surface of a plant
).

Host range

Grapefruit, sweet orange, lemon, and tangerine cultivars.

Distribution

Rio Grande Valley-Texas, Arizona, Florida, Brazil, Argentina, Bolivia, and Uruguay.

Easily confused with

Citrus scab (Elsinoe fawcettii)

           Sweet orange scab on Valencia fruit.

Sweet orange scab on Valencia fruit.

           Sweet orange scab on Valencia fruit.

Sweet orange scab on Valencia fruit.

           Lesions on fruit of  Fortunella  sp.

Lesions on fruit of Fortunella sp.

           Lesions on fruit of  Citrus limon .

Lesions on fruit of Citrus limon.

           Lesions on fruit of  Citrus paradisi .

Lesions on fruit of Citrus paradisi.

           Lesions on fruit of  Citrus paradisi .

Lesions on fruit of Citrus paradisi.

           Lesions on fruit of  Citrus paradisi , positive and   negative.

Lesions on fruit of Citrus paradisi, positive and negative.

           Lesions on  Citrus paradisi  leaf, top side of leaves on left, bottom   side of leaves on right.

Lesions on Citrus paradisi leaf, top side of leaves on left, bottom side of leaves on right.

           Lesions on fruit of  Citrus paradisi .

Lesions on fruit of Citrus paradisi.

           Lesions on fruit of  Citrus paradisi .

Lesions on fruit of Citrus paradisi.

           Lesions on fruit of  Citrus paradisi .

Lesions on fruit of Citrus paradisi.

           Lesions on fruit of  Citrus reticulata .

Lesions on fruit of Citrus reticulata.

           Lesions on fruit of  Citrus reticulata .

Lesions on fruit of Citrus reticulata.

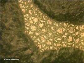
           Close-up of lesion on fruit of  Citrus sinensis .

Close-up of lesion on fruit of Citrus sinensis.

           Lesions on leaf of  Citrus sinensis .

Lesions on leaf of Citrus sinensis.

           Lesions on leaf of  Citrus sinensis .

Lesions on leaf of Citrus sinensis.

           Lesions on fruit.

Lesions on fruit.

           Close-up of lesions on leaf.

Close-up of lesions on leaf.

           Close-up of lesions on leaf.

Close-up of lesions on leaf.

           Lesions on leaf.

Lesions on leaf.

           Lesions on fruit.

Lesions on fruit.

           Close-up of lesions on tangelo.

Close-up of lesions on tangelo.

           Lesions on tangelo.

Lesions on tangelo.

           Leaf lesions on  Fortunella  leaves.

Leaf lesions on Fortunella leaves.